<li id="s8s40"><tt id="s8s40"></tt></li><li id="s8s40"></li>
  • <li id="s8s40"></li><li id="s8s40"><tt id="s8s40"></tt></li>
    <li id="s8s40"><tt id="s8s40"></tt></li>
  • <li id="s8s40"></li>
  • <tt id="s8s40"></tt>
  • <li id="s8s40"><tt id="s8s40"></tt></li>
  • <li id="s8s40"><tt id="s8s40"></tt></li>
  • <tt id="s8s40"><table id="s8s40"></table></tt>

    上班久坐,下班就久躺不動,男子誘發肺栓塞險送命!

    發布時間:2023-09-13 09:33

    臺中6旬謝姓男子上班久坐,一回到家就當沙發馬鈴薯,日前爬樓梯感覺呼吸急喘、嘴唇發紫且冒冷汗,緊急送醫后確認是可能致命“雙側肺栓塞”發作,心臟內科醫師追查,發現患者除家族性先天凝血因子異常,可能和久坐久躺不良習慣有密切相關。

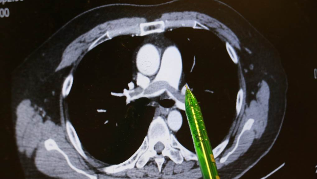
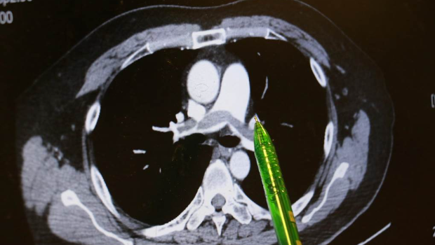
    病人肺部兩側大片彌漫的血栓。

    ▲病人肺部兩側大片彌漫的血栓。臺中慈濟醫院提供

    謝姓男子不煙不酒,他自述上班久坐、在家也習慣久躺沙發,回想發病當天走樓梯時,短短一層樓竟像爬長陡坡,路過同事見他喘不過氣、唇色發綠、冷汗直冒,催促緊急就醫。臺中慈濟醫院急診醫師檢查發現患者血氧飽和度指數極低,電腦斷層顯示雙側肺動脈都有大塊血栓,會診心臟內科主任林茂仁確認是“雙側肺栓塞(Pulmonary embolism)”。

    林茂仁表示,“肺栓塞”有致命危險,但臨床病例并不少見,原因是下肢靜脈血液流速變慢形成血塊,血塊經血管進入肺循環,當右心室收縮時,血塊掉到兩側肺動脈進而造成肺部栓塞;但“肺栓塞”臨床表現不具專一性,很容易被忽略,及時正確診斷是最重要保命關鍵,一旦拖延可能得接受外科開胸手術清除血栓。

    林茂仁說明,患者兩側肺葉彌漫大片血栓,屬于臨床典型而嚴重的“肺栓塞”,幸好他馬上到急診就醫,還主述一周前曾出現“單側小腿腫脹”的重要訊息,再透過相關檢查,幫助醫師快速查出病因。由于患者血液檢查發現具有家族性先天凝血因子異常,顯示體質天生比一般人有更多發生血栓的機會。

    林茂仁表示,引發“肺栓塞”的高危險因素,除了“經濟艙癥候群”(指長時間飛行下肢不動,靜脈容易發生血栓)外,還有肥胖、抽煙、近期曾接受下肢骨科手術且臥床時間過長等;如果單側小腿腫脹幾天都沒改善,就很有可能是深部靜脈血栓,一旦發生不明原因下肢腫脹,建議把握時間到心臟內科進一步篩檢。

    謝男證實,雙親都罹患心血管病史,近半年來迷上網路小說,常久躺沙發幾個小時都不起身。醫師警示,最重要的是避免久坐,每隔1小時就要站起來走走,并注意夏日高溫補充水分,早做預防。

    來源:中時新聞網

    相關閱讀
    熱門文章
    日韩高清成片免费视频